科凯生命科学KoKaValve®经导管主动脉瓣膜系统全国首例植入 | 济峰生态
2022-06-08

近日由中国医学科学院北京阜外医院结构中心主任,云南省阜外心血管病医院执行院长潘湘斌教授领衔的多学科心脏团队,联合云南省阜外心血管病医院结构中心潘家华主任团队应用科凯生命科学自主研发的KoKaValve® 经导管主动脉瓣膜系统顺利为一位主动脉重度狭窄患者实施了经导管主动脉瓣置换手术,患者目前恢复平稳拟于近期出院。
济峰资本曾于2020年参与科凯生命科学的B轮融资。
患者基本情况
患者71岁老年女性,体重42kg,身高156cm,因突发活动后心累气紧合并心绞痛急诊入院,超声提示主动脉瓣膜重度狭窄,左心功能减低EF 46%,主动脉瓣峰值流速5.2m/s, 平均跨瓣压差68mmHg(图1),冠脉造影提示冠脉未见明显狭窄,患者合并COPD,TIA等并发症,STS评分>6分,经外科团队讨论提示传统外科高风险,经过多学科讨论拟行TAVR手术。术前CTA评价提示三叶式主动脉瓣(图2),Area 479.2mm²,Perimeter 77.9mm,Area折算瓣环直径24.7mm,左侧冠脉开口高度16.1mm,右侧冠脉开口高度16.5mm,瓣膜重度钙化,主要分布于瓣叶,LVOT无特殊,主动脉窦平均内径31mm,患者外周血管尚可无明显钙化扭曲,最细5.9mm(图3)。
图1:术前超声心动图提示主动脉重度狭窄
图2. 主动脉瓣三叶式,瓣膜增厚存在重度钙化,钙化分布较为均匀
图3:外周血管CT提示右侧股动脉入路无明显钙化扭曲,血管较细,最细5.9mm
手术过程
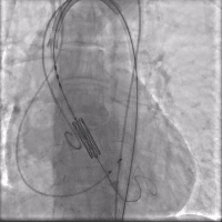
手术采用科凯生命科学自主研发的KoKaValve®经导管主动脉瓣膜系统,其瓣膜特点为短支架球囊扩张瓣膜设计,采用14F可扩张鞘管,从而适应更细的外周血管结构,此次手术采用26mm球囊扩张瓣膜,选择左侧股动脉为辅入路,右侧股动脉为主入路,颈内静脉植入临时起搏器,右侧股动脉植入14F可扩张鞘管,建立通路,跨瓣膜并植入Amplaz Super Stiff支撑导丝,采用配套23mm扩张球囊预扩张(视频1)。
预扩张(视频1)
经过14F可扩张鞘输送26mm瓣膜至降主动脉,回撤瓣膜至输送器球囊部,采用可调弯输送系统过弓并精确定位于主动脉瓣膜(视频2)。
定位 (视频2)
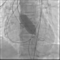
在快心室率起搏下平稳释放瓣膜,瓣膜释放过程稳定流程,瓣膜准确铆定于主动脉瓣环(视频3)。
术后造影(视频3)
停止起搏并撤回输送系统,撤出引导钢丝,关闭血管入路,术后造影及超声评价瓣膜功能良好,前向血流速度1m/s, 无明显瓣周漏(视频4)。
术后超声(视频4)
整个手术过程流畅,患者目前恢复良好,拟于近期出院。此次手术的成功,标志着以云南省阜外心血管病医院为主要研究者单位的科凯生命科学KoKaValve®球囊扩张瓣膜GCP临床研究正式启动。
产品介绍
KoKaValve®是由科凯(南通)生命科学有限公司自主研发的一款经股动脉路径的球囊扩张式主动脉瓣膜置换系统,其特点包括:1)针对中国患者的主动脉瓣钙化特点及更高的二叶瓣发病率,支架径向支撑力更大,瓣膜释放后可保持更高的圆形程度,2)创新的采用国产可扩张鞘管,从而适应更细小的中国人群股动脉,3)特殊设计的高压球囊保证瓣膜释放过程的精准定位。 球扩式主动脉瓣膜置换系统已成为国际上心脏瓣膜疾病介入治疗领域的主要治疗方式之一,结合我国主动脉瓣狭窄患者人群特点,其中常见的二叶瓣患者,相对于自膨式瓣膜,球扩式瓣膜具有定位准确的、瓣膜扩张充分、减少对冠脉的压迫、术后起搏器植入率低等优势,也必将在市场中抢占更多机会。主动脉瓣狭窄一直是高发生率、高致残率和高死亡率的危重症。此次手术成功,有望极大提高主动脉瓣狭窄患者的救治成功率。随着科学的发展、医疗器械和操作技术的进一步改进以及相关机制的更深入研究,微创经导管主动脉瓣置入术必将更好地应用于临床,KoKaValve®也必将使更多的瓣膜疾病患者获益。
经导管主动脉瓣置换术市场和前景
近年来,经导管主动脉瓣置换术(TAVR)逐渐发展成熟,基于其循证学依据较为充分、创伤较小的特点,已成为主动脉瓣狭窄的一线治疗手段。此项新型技术大大缩短了手术时间并且提高了手术成功率,患者恢复速度快。该技术与药物治疗相比疗效更好,能显著提高患者的生活质量,新近研究表明,对不能手术的严重主动脉瓣狭窄患者,TAVR与药物治疗相比可降低病死率46%,为失去外科手术机会和严重主动脉瓣狭窄患者的治疗带来了希望。
TAVR原本主要适用于高龄、高危或存在外科手术禁忌症的患者,随着技术的发展,该手术的适用范围可能扩至其他低龄、低风险的患者,2019年8月,FDA批准对中低手术风险患者实施TAVR手术。预计中国监管部门将跟随类似的趋势,未来会批准对中国中低手术风险患者实施TAVR手术,适应症拓展和政策的改变也带来了更多的市场机会。
通过统计数据对比我国和其他各个国家的TAVR手术量,发现现阶段我国TAVR渗透率对标海外差距很明显,我国的TAVR渗透率远远达不到全球的平均水平。2020我国全年TAVR手术量接近4000例,而美国一年有70000多例。另有数据表明,2019年,中国有604家具备资格进行TAVR手术的医院,但只有156家医院进行了TAVR术。而每个月至少有一台TAVR手术,稳定开展TAVR手术的医院不超过50家。由此可见,我国主动脉狭窄虽然有着庞大的患病人群基数,但治疗率却极低,其蓝海市场亟待开垦。根据弗若斯特沙利文的数据,2019年,中国TAVR市场的市场规模为人民币3.92亿元。预计TAVR市场将以53.1%的年复合增长率快速增长,到2025年将达到人民币50.55亿元。
